Skip to main content
Advertisement

Analysis Reveals Extensive Use of Lethal Weapons in Iran Protests Killings

BBC Persian analysis reveals Iranian security forces used machine guns, sniper rifles, shotguns, and machetes in a brutal crackdown killing thousands of protesters across over 200 cities.

·6 min read
Mamlekate A composite image shows a machine gun mounted in the back of a white pickup truck (left) and a screen grab from a video verified by BBC News Persian of the 9 January protests in the north-eastern city of Mashhad, showing two figures in black tactical uniforms of the type worn by several branches of the security forces, including the Islamic Revolutionary Guard Corps, on a hotel rooftop, with a Dragunov sniper rifle (SVD) leaning against a wall.

Warning

The following report contains detailed descriptions of violence that may be distressing to some readers.

Overview of Weapon Use in Iranian Protests

A BBC Persian investigation analyzing hundreds of videos and photographs from recent protests across Iran confirms that security forces employed a broad array of weaponry, including machine guns, sniper rifles, and shotguns.

Protesters were reportedly killed in over 200 cities where demonstrations were documented. Although the precise death toll remains uncertain, evidence from images, eyewitness accounts, and reports by human rights organizations and media outlets indicate that thousands have died nationwide.

The government’s crackdown, initially sparked by economic grievances, escalated rapidly and involved unprecedented levels of violence in modern Iranian history.

"This is the largest mass killing in contemporary Iranian history and one of the largest in the world," said Payam Akhavan, an Iranian Canadian former UN prosecutor at the International Criminal Court in The Hague, in an interview with Persian.

The Iranian authorities have attributed the deaths to "rioters and terrorists." However, Persian’s analysis reveals that security forces used multiple types of weapons against protesters.

Machine Guns

Verified footage from cities including Tehran, Isfahan, Yazdanshahr, and Shahsavar shows heavy machine guns such as the DShK and medium machine guns like the PK mounted on military pickup trucks.

These weapons were reportedly deployed for crowd control and to enforce a state of siege.

The Vahid Online Telegram channel shared two photographs depicting a black pickup truck equipped with a mounted machine gun in Tehran's Sadeghiyeh Square on the night of 8 January.

Persian cross-referenced these images with photographs from Iran's semi-official Fars News Agency of a 2025 military parade, which showed nearly identical Islamic Revolutionary Guard Corps (IRGC) pickup trucks armed with the same weapon.

Weapons expert Amael Kotlarski from Janes defence-intelligence company identified the weapon as the DShKM model, produced under license in Iran.

Vahid Online / Fars News Agency A composite image compares a black pickup truck with a DShKM-model machine gun mounted in the back in Tehran's Sadeghiyeh Square on the night of 8 January (left) to a nearly identical Islamic Revolutionary Guard Corps vehicle in a 2025 Imam Ali security battalion parade.
Persian cross-referenced photographs of Tehran's Sadeghiyeh Square with those of the Islamic Revolutionary Guard Corps

A video from the 9 January protests in Yazdanshahr, published by Iran International television network, clearly shows protesters under sustained machine-gun fire, with visible muzzle flashes at the 46-second mark.

Iran International A composite image shows two screen grabs from a video published by the Iran International television network, of a machine gun mounted in the back of a white pickup truck at the 9 January protests in the city of Yazdanshahr, Isfahan province, (left) and the massive muzzle fire when it is fired.
A video of protests in Yazdanshahr shows the muzzle fire of a machine gun mounted on the back of a pickup truck

A representative from Thames Valley Guns, a UK-based military firearms analysis company, confirmed that vehicles equipped with DShK machine guns appear in protest footage.

In one verified video, an individual displays two spent cartridge casings from a Kalashnikov AK-47 assault rifle and one large spent shell, stating that security forces fired them at protesters in Tehran's Behesht Square.

Mamlekate A screen grab from a verified video shows a black-gloved hand displaying a large black spent 20mm automatic cannon-round shell, with rifling marks on its driving band, while two spent cartridge casings from a Kalashnikov AK-47 assault rifle lie on tiling underneath.
In one verified video, someone displays spent cartridge casings from a Kalashnikov AK-47 assault rifle and a 20mm automatic cannon round, saying security forces had fired them at protesters

Thames Valley Guns confirmed the large black projectile was a 20mm automatic cannon round designed for use against military hardware. Rifling marks on its driving band confirm it had been fired.

"Ammunition of this nature is intended to defeat structures, vehicles and hardened targets, including lightly armoured personnel carriers," the representative explained. "They are not engineered for use against personnel, though the consequences of such a strike on a human would be catastrophic."

Sniper Rifles

Eyewitnesses told Persian that sniper rifles were widely used during the January protests, a fact corroborated by verified footage.

One video from the 9 January protests in Mashhad shows two individuals in black tactical uniforms, similar to those worn by various security branches including the IRGC, positioned on a hotel rooftop. One has a Dragunov sniper rifle (SVD) resting against a wall.

Obtained by Persian A composite image shows a screen grab from a video of the 9 January protests verified by Persian, showing two figures in black tactical uniforms of the type worn by several branches of the security forces, including the IRGC, on a hotel rooftop, with a Dragunov sniper rifle (SVD) leaning against a wall (left), and their position displayed on an aerial photograph of the north-eastern city of Mashhad.
A video from the city of Mashhad, verified by Persian, shows figures in IRGC-style uniform, on a rooftop, with a Dragunov sniper rifle

In an interview with Iranian state television, a forensic expert confirmed that snipers killed protesters.

Advertisement

On 8 January, a relative of Ebrahim Pourahmadian from Saqqez, Kurdistan province, who was working as a building caretaker in Tehran, told Persian that a sniper shot him in the head in front of his child.

Photographs obtained by Persian of Pourahmadian’s body confirm a single precision gunshot wound in the center of his forehead.

The Thames Valley Guns representative described the psychological impact of snipers, stating:

"For untrained civilians, the effect is even more severe. Most people have no understanding of how to respond to a distant, unseen threat — and the resulting fear certainly triggers mass panic."

Assault Rifles

The Kalashnikov assault rifle is the standard weapon for all military and law enforcement branches in Iran.

Persian analyzed numerous videos showing police and IRGC members using AK-47 Kalashnikovs and Iranian-produced KL variants.

One video from Amol on 9 January shows a security officer aiming and firing a Kalashnikov directly at protesters.

Exclusive images obtained by Persian of spent casings recovered from streets were confirmed by Kotlarski to be 7.62x39mm rounds, the specific caliber for Kalashnikov rifles.

Exclusive images obtained by Persian show spent cartridge casings and pellet bullets.
Spent cartridge casings from a Kalashnikov-type assault rifle were found on the streets

Shotguns

Persian’s investigation confirms extensive use of shotguns.

Verified footage from Lordegan on 1 January and Abadan on 7 January shows police officers armed with shotguns deployed during protests.

Kotlarski identified several models, including the Iranian-made Maher shotgun in both standard and short-barrel configurations.

Vahid Online A composite image shows three screen grabs from verified footage from Abadan, western Iran, on 7 January, showing police officers with shotguns deployed on streets during protests.
Verified footage from Abadan, western Iran, on 7 January, shows police officers with shotguns deployed on streets during protests

As observed during the 2022 Woman, Life, Freedom protests crackdown, widespread shotgun use in January resulted in many deaths and left hundreds, possibly thousands, with permanent eye injuries.

Between 9 and 10 January, approximately 1,000 patients requiring emergency surgery for ruptured eyeballs caused by metal pellets arrived at a single eye hospital, according to Dr Ghasem Fakhraei, head of the hospital, speaking to the semi-official Iranian Students' News Agency.

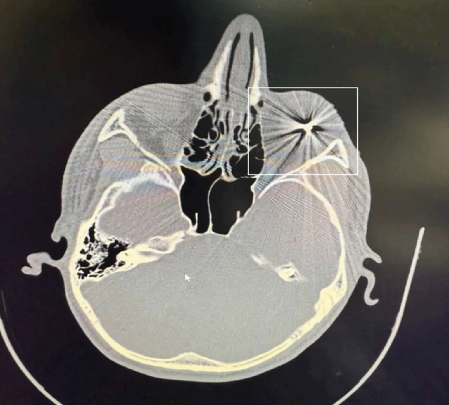
Persian obtained CT scans and medical records of several wounded protesters from Mashhad, including one showing a metal pellet embedded in eye tissue.

Obtained by Persian An exclusive CT-scan image obtained by Persian shows a metal pellet embedded in a Mashad protester's right eyeball.
An exclusive CT-scan image obtained by Persian shows a metal pellet embedded in a Mashad protester's right eyeball

Other Weapons and Attacks

Two videos from Kermanshah on 8 January show plainclothes security agents wielding pistols resembling the Beretta Model 50 or CZ 75.

Numerous protesters reported being attacked with knives and machetes. Photographs of bodies obtained by Persian reveal wounds consistent with both machete and bullet injuries.

CCTV footage from Tehran shows plainclothes agents attacking protesters seeking refuge in a block of flats with machetes.

Vahid Online CCTV footage from Tehran shows a plainclothes security agent wielding a machete attacking a female protester, on 8 January.
CCTV footage from Tehran shows a plainclothes security agent wielding a machete attacking a female protester, on 8 January

Another video from Tehran on 8 January shows a plainclothes officer striking a female protester in the head with a machete, with several uniformed security personnel visible nearby.

Persian’s videos and interviews with survivors document beatings with batons. One protester, Saghar Seifollahi Fars, was killed by baton blows, and another, Ali Taherkhani, died not from bullet wounds but from subsequent beatings with batons and gun butts after being shot.

This article was sourced from bbc

Advertisement

Related News